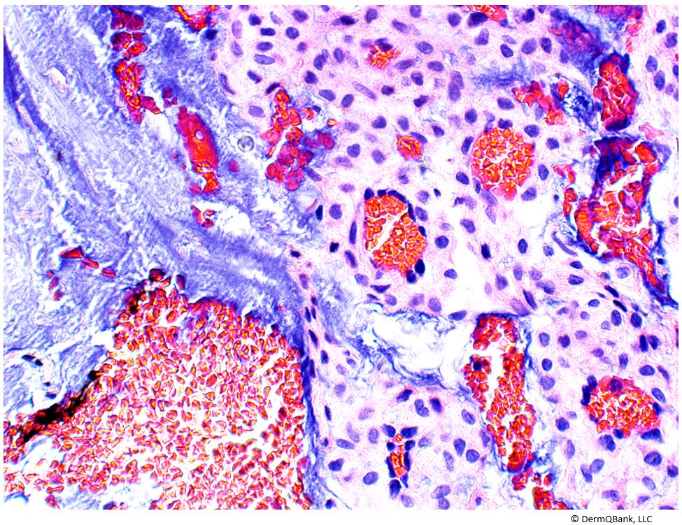
Type I cryoglobulinemia causes vasculopathy with signs and symptoms associated with thrombosis rather than vasculitis (e.g., Raynaud’s syndrome, acrocyanosis, non-palpable purpura).
Cryoglobulinemia is caused by circulating immunoglobulins, immunoglobulin complexes, or immunoglobulin/protein complexes which reversibly precipitate in the cold. Type I cyroglobulinemia leads to vasculopathy, which clinically presents as purpura, Raynaud's syndrome, acrocyanosis, retinal hemorrhages, and/or other signs of thrombosis. It is caused by circulating single monoclonal immunoglobulins (usually IgG or IgM), which reversibly precipitate in the cold. Type I cryoglobulinemia is usually associated with underlying myeloma or B-cell malignancy. Conversely, Type II and III cryoglobulinemia are mixed cryoglobulinemias that lead to leukocytoclastic vasculitis clinically presenting as inflammatory palpable purpura.
Type II cryoglobulinemia involves monoclonal IgM Rheumatoid factor (RF) complexed with polyclonal IgM. It can be seen in association with Hepatitis C, rheumatoid arthritis, Sjogren’s syndrome, multiple myeloma, and Waldenstrom’s macroglobulinemia. Clinical manifestations include leukocytoclastic vasculitis/palpable purpura and arthralgia.
Type III cryoglobulinemia involves Rheumatoid factors that are polyclonal IgM and IgG complexed with either each other or another circulating protein. It is associated with systemic lupus erythematous, rheumatoid arthritis, Sjogren’s syndrome, Hepatitis B and C, CMV, primary biliary cirrhosis, and mononucleosis. Clinical manifestations include leukocytoclastic vasculitis/palpable purpura and arthralgia.
Henoch-Schonlein purpura is a leukocytoclastic vasculitis that is more common in children under the age of 10, and is commonly preceded by a respiratory infection. Pathogenesis is related to IgA, C3, and fibrin deposits in small cutaneous blood vessel walls (post-capillary venules). Classic clinical features include palpable purpura of dependent areas and extremities, arthralgias, abdominal pain, and hematuria from renal vasculitis.
Source:
Chang et al. J Am Acad Dermatol 2016
Clinical Pearl: Type I cryoglobulinemia causes vasculopathy with signs and symptoms associated with thrombosis rather than vasculitis (e.g., Raynaud’s syndrome, acrocyanosis, and non-palpable purpura). Conversely, Type II and III cryoglobulinemia are caused by immune complex deposition in tissues and blood vessels leading to leukocytoclastic vasculitis. Henoch-Schonlein purpura causes a leukocytoclastic vasculitis related to IgA-dominant immune deposits in post-capillary venules.
Type I cryoglobulinemia: Vasculopathy. Monoclonal IgG or IgM
Type II cryoglobulinemia: Leukocytoclastic vasculitis. Monoclonal IgM RF complexed with polyclonal IgM
Type III cyroglobulinemia: Leukocytoclastic vasculitis. Rheumatoid factors that are polyclonal IgM and IgG complexed with either each other or another circulating protein